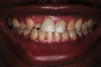
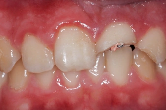
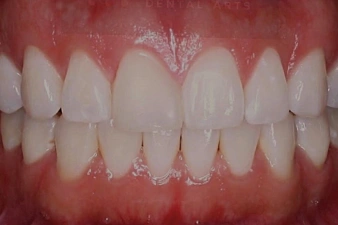
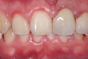
Smile Transformations

Experience the difference! Browse our before-and-after photos to see how we transform smiles with expert, personalized dental care.

Patient Testimonials – Real Stories, Real Smiles

We encourage patients to leave reviews because we stand behind our care. You are assured that comments you see here are genuine and valid, from actual patients of Luxe Dental Arts.

New Patients & Emergency Appointments Welcome